Zahnarztpraxis Dr. M. Niemeyer

Benzstraße 8, 14482 Potsdam
Fon: (0331) 70 70 55
Fax: (0331) 748 21 13
Mo - Do8.00 - 20.00
Fr8.00 - 18.00

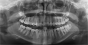
Digitales Röntgen

Digitale RöntgenEine der wichtigsten Untersuchungsmethoden des Zahnarztes ist schon seit Jahrzehnten das Röntgen - es zeigt die innere Beschaffenheit von Zähnen und Kiefer. Ein großer Teil der beginnenden Karies ist für den Zahnarzt nur im Röntgenbild erkennbar, da in vielen Fällen die Oberfläche der Zähne glatt ist und der Zahnschmelz auf den ersten Blick intakt aussieht.

Unsere Praxis verfügt über digitale Röntgengeräte, die gegenüber der konventionellen Methode enorme Vorteile bieten:

Digitales Röntgen
  • Reduzierung der Strahlenbelastung um bis zu 90%, wodurch auch mehrere Aufnahmen keinerlei gesundheitliche Schäden verursachen
  • die Röntgenaufnahme ist sofort auf dem Bildschirm zu sehen
  • keine Umweltbelastung durch Chemieabfälle
  • unkomplizierte Weiterverarbeitung am Computer
  • Schneller Versand an Kollegen per Email